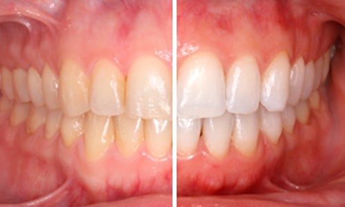
Evitar comer alimentos con mucho pigmento artificial o natural (Ejemplo: Agua de Jamaica, vino tinto, refresco, botanas como Cheetos, Doritos, alimentos enchilados, chocolate, etc.)
En caso de tener sensibilidad que no sea tolerable, tomar el medicamento según se le indicó (La recomendación es un analgésico o antiinflamatorio cada 6hrs por al menos 1 día o según usted se sienta).
En las noches usar por lo menos una hora el gel para la sensibilidad con los guardas blandos por al menos 2 días.
Puedes y debes cepillar tus dientes en forma normal.
En caso de tener pasta para dientes sensibles en casa usarla, de lo contrario puedes usar cualquier pasta normal.
Cualquier pregunta no dudes en comunicarte con nosotros, recuerda que estamos para servirte.